Pioneering Medical Imaging AI

Leveraging deep learning to revolutionize diagnostics and patient outcomes in neurology.

CT Scan Analysis

AI-Powered Hemorrhage Analysis

Automated detection and analysis of brain hemorrhages from CT scans.

Intracranial Hemorrhage AI

A comprehensive pipeline based on advanced algorithms for the analysis of non-contrast head CT scans. Our system provides rapid classification, segmentation, and quantification of intracranial hemorrhages and their suptypes to assist surgeons, radiologists, and emergency room's specialities in critical decision-making.

View Product Details Explore AI Modules

Core AI Modules

Classification & Subtyping

Detects the presence of hemorrhage and classifies it into subtypes (e.g., Intraparenchymal, Subdural) with high accuracy.

Detection & Tracking

Identifies and tracks the location and progression of hemorrhage lesions across multiple scans over time.

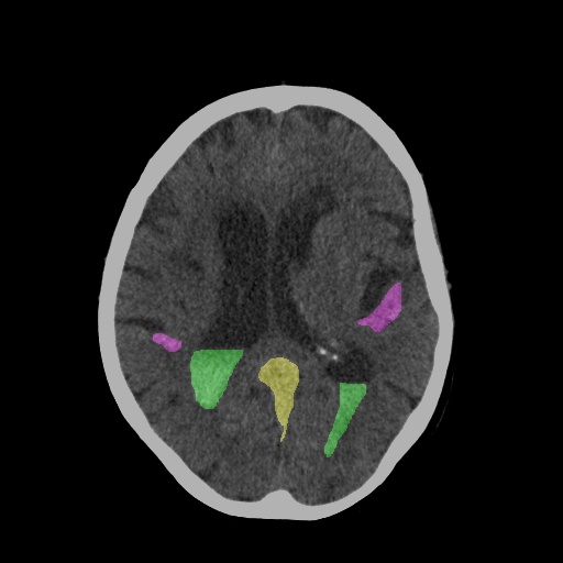
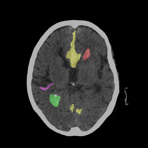
Segmentation & Volumetry

Precisely segments the hemorrhage area to calculate its volume, a critical biomarker for patient prognosis.

Explainable AI (XAI)

Provides visual heatmaps to show which parts of the image the AI focused on for its predictions, ensuring transparency. Moreover, using concept-based algorithems to provide sufficient information for specialist to facilitate decision-making.

Vision-Language Models (VLMs)

Generates descriptive text reports from the CT scan images, summarizing findings in natural language for radiologists.

Product Showcase

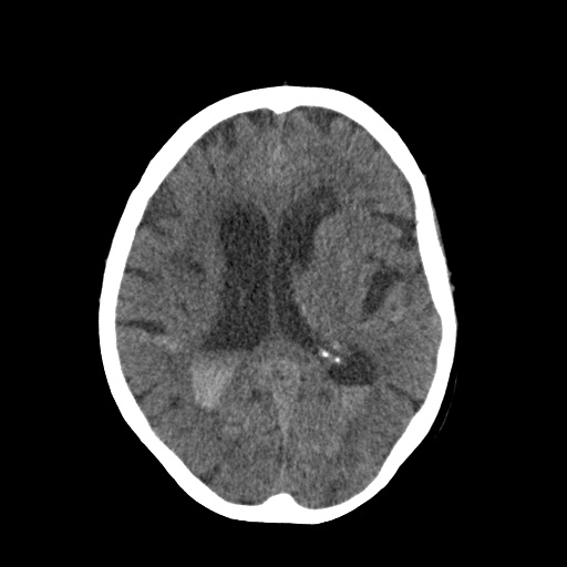
CT Scan Before Diagnosis
CT Scan After Diagnosis with Segmentation
Hemorrhage Segmentation
CT Scan Before Diagnosis
CT Scan After Diagnosis with Segmentation
XAI
CT Scan Before Diagnosis
CT Scan After Diagnosis with Segmentation
Detection